Bệnh hoại tử cơ do PvRV. Ảnh: Researchgate
Những bệnh trên “cơ” đáng sợ ở tôm thẻ chân trắng
Dưới đây là mô tả những bệnh cơ gây nguy hiểm trên tôm thẻ chân trắng và một số biện pháp hạn chế dịch bệnh.
1. Bệnh trắng đuôi vi khuẩn (BWTD)
- Tác nhân: Vibrio harveyi (dòng HLB0905) không phát quang và có độc lực cao

Dấu hiệu bệnh của tôm bị trắng đuôi do Vi khuẩn:
(A) Cơ trắng ở đuôi (mũi tên đen): (B) Các dấu hiệu của tôm L.vannamei bị nhiễm khuẩn V. harveyi HLB0905. So với tôm bình thường (mũi tên dưới màu trắng).
- Triệu chứng: Điển hình cho bệnh này là dấu hiệu "đuôi trắng" trên tôm. Nó có thể gây tử vong hàng loạt cho tôm bị ảnh hưởng trong một khoảng thời gian ngắn với liều lượng thấp. Trong khi đó, phân tích mô bệnh học và kính hiển vi điện tử cho thấy dòng Vibrio harveyi HLB0905 có thể gây tổn thương tế bào sợi nghiêm trọng và hoại tử cơ vân bằng cách tích tụ trong cơ đuôi của tôm L.vannamei, khiến tôm bị bệnh có biểu hiện các tổn thương trắng hoặc đục ở đuôi.

Thay đổi mô bệnh học trong cơ tôm bị bệnh.
(A Tôm bình thường (mũi tên đen) và C sợi cơ vỡ (mũi tên trắng). (B và D) Sự hiện diện số lượng lớn vi khuẩn hình que (mũi tên màu đen). A và B được lấy mẫu từ tôm L. vannamei với bệnh WTD ở trang trại, trong khi mẫu C và D được lấy mẫu từ tôm L.vannamei bị nhiễm chủng V. harveyi HLB0905.
Các nghiên cứu cho thấy, giống như IMN và WTD, BWTD có thể gây ra tỷ lệ chết cao trên tôm nuôi. Những kết quả này gợi ý rằng một số chủng vi khuẩn đang tự thay đổi từ các mầm bệnh thứ phát sang mầm bệnh mới lạ thông qua tăng cường tính độc hại của chúng trong hệ thống nuôi tôm hiện nay.
2. Bệnh hoại tử cơ do virus
- Tác nhân: Virus gây viêm sưng cơ (IMNV) và Penaeus vannamei nodavirus (PvNV).

Tôm bị hoại tử cơ do IMNV có vùng đuôi và cơ đỏ bị hoạt tử.
- Triệu chứng: Dấu hiệu bất thường này được đặc trưng bởi sự tập trung vào các vùng hoại tử lan rộng ở các mô cơ đuôi, có màu trắng đục. Hơn nữa, phân tích mô học từ các mẫu bệnh vĩ mô cho thấy một sự hoại tử của cấu trúc đốt cơ cùng với cùng với thâm nhiễm hemocytic.
Trong một nghiên cứu mới đây cho thấy tác nhân gây bệnh hoại tử cơ trên tôm có thể là một loại tác nhân mới khác nhau của IMNV. Và chúng được nhận định là các tác nhân gây bệnh hoại tử cơ ở tôm thẻ chân trắng: virut gây viêm sưng cơ (IMNV) và Penaeus vannamei nodavirus (PvNV).
3. Bệnh hư hại cơ do PvNV
- Tác nhân: Penaeus vannamei nodavirus (PvNV)

Tôm bệnh có biểu hiện đục, trắng và biến màu của một số phần bụng (mũi tên).

A. Hoại tử cơ (mũi tên rộng) kết hợp với thâm nhiễm hemocytic (mũi tên mỏng). B. Cơ xương bình thường từ tôm khỏe.
- Triệu chứng: Tôm nhiễm bệnh cho thấy các dấu hiệu thương tổn màu sắc, đục trong cơ đuôi. Dưới kính hiển vi điện tử , các tế bào bị nhiễm thể hiện sự gia tăng các cơ quan khác nhau, bao gồm ty thể, bộ máy Golgi, và lưới nội chất. Sự tích tụ tế bào chất có chứa các mảng tinh thể của virion. Hạt vi rút có dạng hình cầu và đường kính từ 19 đến 27 nm. Bộ gen PvNV được chia làm bao gồm 2 đoạn: RNA1 (3111 bp) và RNA2 (1183 bp).
Phân tích di truyền dựa trên trình tự axit amin của RdRp cho thấy PvNV là một thành viên của chi Alphanodavirus và liên quan chặt chẽ đến Macrobrachium rosenbergii nodavirus (MrNV).
Trong một nghiên cứu điều tra những vec tơ truyền PvNV, các nhà khoa học đã theo dõi sự hiện diện của PvNV bằng RT-PCR trong phân của loài chim biển và các sinh vật dưới nước khác nhau được thu thập quanh một trang trại nuôi tôm ở Belize. PvNV đã được phát hiện trong muỗi, hải sâm, và động vật phù du, cho thấy rằng PvNV có thể lây lan trên khắp thế giới (Theo Tang KF1, Pantoja CR, Redman RM, Navarro SA, Lightner DV)
4. Bệnh trắng cơ (WMD)
- Tác nhân: Vi khuẩn Lactococcus garvieae

- Triệu chứng: Dấu hiệu đầu tiên liên quan đến bệnh này là tôm kém ăn ( nguyên nhân do thiếu khoáng chất trong nước, thức ăn chất lượng kém), bơi lờ đờ trong 5 ngày đầu tiên nhiễm bệnh và kết quả là tử vong chậm. Bệnh sẽ dần dần phá huỷ tổ chức cơ bụng của tôm đặc biệt là các đốt cơ cuối cùng và dẫn đến tử vong.
5. Virus gây hoại tử cơ do nhiễm virus IMNV
- Tác nhân: Infectious Mionecrosis Virus (IMNV)
Virus gây hoại tử nhiễm bệnh (IMNV) là một loại virus trêm tôm thẻ chân trắng đang nổi lên thuộc họ Totiviridae. Virus này là loài đặc hữu của Braxin và Indonesia với tiềm năng lây lan xuyên biên giới.

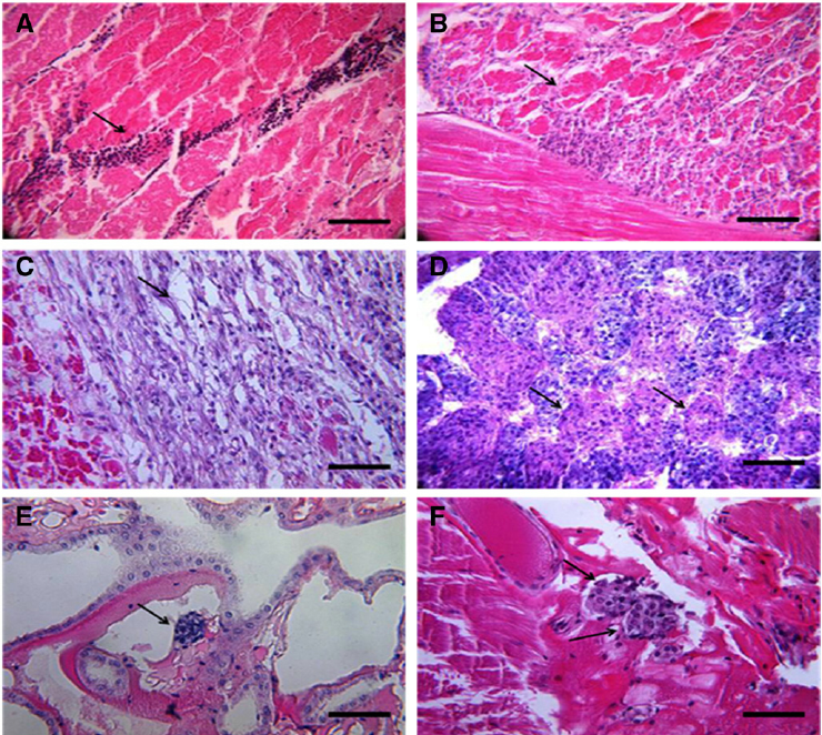
Ảnh chụp từ mô của tôm thẻ khảo sát các tổn thương IMNV
.jpg)
Bệnh hoại tử cơ do Infectious myonecrosis virus (IMNV). (a) Hình chụp dưới kính hiển vi điện tử, IMNV nhiễm tự nhiên trên tôm thẻ chân trắng ở Brazil; (b) (c) dấu hiệu bệnh hoại tử cơ trên tôm thẻ chân trắng; (d) kích thước của cơ quan bạch huyết của tôm nhiễm IMNV tăng gấp 2-4 lần so với kích thước thông thường (đánh dấu trong vòng tròn). Nguồn: Lightner, 2011.
- Triệu chứng: Tôm nhiễm bệnh được đặc trưng bởi các cơ trắng dọc theo bụng và vùng đuôi.
Tôm bị nhiễm bệnh thường sẽ được kéo qua mép của ao và được đặc trưng bởi sự khởi đầu của màu trắng như bông ở đoạn thứ 3.
Biện pháp phòng tránh
Cách hiệu quả nhất để ngăn ngừa sự xuất hiện của bệnh IMNV là thực hiện an toàn sinh học tốt.
Khử trùng nước vào ao được thực hiện có thể giảm lây lan IMNV. Với loại vi khuẩn sống tự do có thể đạt đến 60 ngày, nước cất đã được khử trùng trong ao lắng càng lâu càng tốt trước khi nó được cấp vào ao.
Tăng cường sức đề khánh tôm với vitamin,Beta glucan... Quản lý chất lượng nước tốt và theo dõi biến động môi trường một cách cẩn thận để ngăn ngừa sự tấn công của bệnh IMNV.
Cách cuối cùng là giảm mật độ thả giống. Bằng cách giảm mật độ thả của tôm sẽ tạo ra nhiều không gian hơn do đó làm giảm các yếu tố căng thẳng. Ngược lại, khi thả mật độ cao, nguy cơ căng thẳng của tôm càng lớn sẽ càng dễ bị tấn công bởi bệnh.